Dr. Bashar Alkabbani has transformed the lives of thousands of Minneapolis residents through implant treatment - improving their confidence and giving them the ability to eat comfortably again. Our facility houses some of the most advanced 3D technology to ensure your final dental implants last a lifetime.
With more than 27 years in dentistry, Dr. Bashar Alkabbani has transformed over 29, 000 smiles. His dedication to staying at the forefront of implant technology means patients benefit from cutting‑edge, effective treatments. Known for his gentle precision and personalized care, he handles everything from single‑tooth replacements to full‑arch restorations. Start your journey to a confident smile with Dr. Alkabbani today. Experience compassionate expertise and long‑lasting results for yourself.

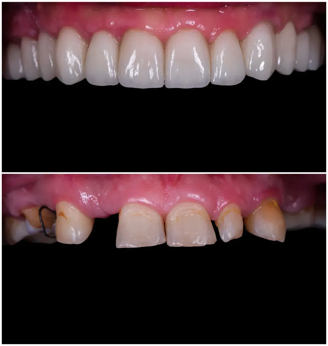
Ideal for replacing a single tooth, our Single Dental Implants in Edina offer a durable and natural-looking solution to restore your smile and chewing function.
Our Implant-Retained Bridges are perfect for filling a gap caused by multiple missing teeth, providing a fixed, stable, and aesthetically pleasing dental restoration.
Snap-On Dentures provide a secure fit with easy removal, merging convenience and reliability through dental implants for enhanced comfort and oral health.
The All-On-X Treatment, also known as Teeth In A Day, offers a full-arch tooth replacement for a complete smile transformation using state-of-the-art implant technology.
We can do implants on patients who have been told they don't have "enough bone". This is an advanced surgical skillset few offices are capable of offering.
Thousands of patients have trusted Dr. Alkabbani and our Edina dental implant center for life-changing dental treatment. Many come to us after struggling with missing teeth, loose dentures, or failing dental work. Our full mouth dental implant and All-on-4 implant procedures are designed to restore a complete, confident smile using advanced technology, all under one roof.
With our in-house dental lab, sedation options, and experienced implant team, we provide faster healing, fewer visits, and more predictable results. Patients like Chad, Colleen, and Scott have regained the ability to eat, smile, and live comfortably again. If you’re searching for dental implants in Edina or looking for a long-term solution for multiple missing teeth, our implant center offers a proven, permanent solution.

IV Sedation for FREE
Extractions of teeth for FREE
Limited Bone Grafting if necessary for FREE
10 Year Warranty Included

Charge $2500 extra for IV Sedation
Charge $4000 extra for tooth extractions
Charge $2000 extra for Bone Grafting
Charge $3000 extra for a 10 year warranty

At our practice, we are proud to offer high-quality dental implants at a more affordable price compared to many other providers. Unlike large corporate dental chains that often charge higher fees to cover overhead costs, we prioritize making dental implants accessible without compromising on quality or care. Our streamlined approach and use of advanced technology allow us to provide exceptional value, saving our patients thousands of dollars per arch. By choosing us, you’re not only investing in a durable, long-term solution for your smile but also benefiting from competitive pricing that makes restoring your oral health more affordable.

Includes IV sedation for FREE. This is a deeper level of sedation that requires special certification & ensures a pain free surgery. ($2500 Value)
Includes 10 Year Warranty for FREE. Protects your investment. ($3,000 Value)
Includes surgical implant placement.
Includes abutment.
Includes zirconia crown (prosthetic tooth)

Includes IV sedation for FREE. This is a deeper level of sedation that requires special certification & ensures a pain free surgery. ($2500 Value)
Includes 10 Year Warranty for FREE. Protects your investment. ($3,000 Value)
Includes surgical implant placement.
Includes abutment.
Includes zirconia crown (prosthetic tooth)

Includes everything from start to finish. No hidden fees.
Includes extraction of all remaining damaged teeth. ($4000 Value)
Includes IV sedation for FREE. This is a deeper level of sedation that requires special certification & ensures a pain free surgery. ($2500 Value)
Includes 10 Year Warranty for FREE. Protects your investment. ($3000 Value)
Includes surgical placement of up to 4 implants.
Includes abutments.
Includes new snap on denture prosthesis.

Includes everything from start to finish. No hidden fees.
Includes extraction of all remaining damaged teeth. ($4000 Value)
Includes IV sedation for FREE. This is a deeper level of sedation that requires special certification & ensures a pain free surgery. ($2500 Value)
Includes 10 Year Warranty for FREE. Protects your investment. ($3000 Value)
Includes surgical placement of up to 6 implants.
Includes abutments.
Includes new fixed full arch teeth made of acrylic PMMA.

Includes everything from start to finish. No hidden fees.
Includes extraction of all remaining damaged teeth. ($4000 Value)
Includes IV sedation for FREE. This is a deeper level of sedation that requires special certification & ensures a pain free surgery. ($2500 Value)
Includes 10 Year Warranty for FREE. Protects your investment. ($3000 Value)
Includes surgical placement of up to 6 implants & abutments.
Includes provisional arch for day of surgery and final zirconia fixed arch after healing.









Missing tooth roots leads to long term bone loss. As the jaw(s) shrink, facial sagging, and advanced aging occur. Dental implants are the only solution that stops this process. Traditional dentures and bridges fall short.

Patients no longer have to deal with low-quality temporary solutions like dentures, bridges, or partials. Dental implants are the new leading standard in tooth replacement options. They act and feel just like real teeth with an average lifespan of 20+ years.
Most traditional replacement solutions - like bridges or dentures - need to be replaced every 7 to 10 years resulting in hundreds of wasted dollars. Implants offer a long term solution for patients who want the best quality of life possible.

So, how do they work?
Every single dental implant consists of three parts - the implant, the abutment, & the crown. The implant is made of medical grade titanium. This part is surgically placed into the patient’s jaw bone and left to heal for 4-6 months afterwards.
This implant piece acts as the foundation for the rest of the tooth. Once the bone around the site has healed, the abutment and crown are placed on top of the implant. The end result is a beautiful, natural-looking new tooth!
Few people will ever be able to tell the difference between your implants and your real teeth.

Every implant procedure comes with a robust of 10 year warranty. As long as you come back every 6 months for your cleanings/check-ups and follow proper patient protocols for your implant maintenance, we will guarantee your implants for 10 years! This is included for FREE with all of our implant treatment. Exclusions apply. Call for details.**
Our full arch dental implant pricing is fully transparent and all-inclusive. Starting at just $15,900 per arch. This price includes IV sedation, extractions, bone grafting (if needed), and a 10-year warranty at no additional cost.
Thanks to our state-of-the-art in-house dental lab, we are able to offer the same full arch implant solution that large corporate centers typically charge $28,000–$30,000 for, but at nearly half the price. By designing, milling, and customizing the teeth right here in our Edina facility, we eliminate outside lab fees, reduce wait times, ensure quality control, and pass the savings directly to our patients.
Every patient’s case is unique, and your total cost will depend on your specific needs, but you’ll receive a customized treatment plan and an exact price at your consultation. No surprise add-ons or hidden fees.
In short:
$15,900 per arch — all inclusive
In-house lab = lower cost + higher quality + faster turnaround
IV sedation, extractions, and grafting included
10-year warranty included
You get premium full arch dental implants at a price that’s honest, transparent, and significantly more affordable than corporate centers, without compromising outcome, materials, or expertise.
Yes. Many patients use monthly financing to make treatment affordable. We work with multiple healthcare financing companies that can offer payments as low as $200–$500 per month for qualified patients. During your visit, our team will walk you through every option so you can choose a plan that fits comfortably within your budget.
No, our patients are fully sedated and comfortable throughout the implant procedure. We include IV sedation for FREE, which most offices charge $2,500–$3,000 for. After the procedure, most patients report only mild soreness for a few days. Because we use advanced technology and guided implant placement, recovery is typically smooth and gentle.
Often, yes. Many patients come to us after being told elsewhere that they’re “not a candidate.” Dr. Alkabbani has over 27 years of experience and specializes in advanced procedures like zygoma implants, which allow patients with severe bone loss to receive permanent teeth. Your consultation will include a 3D CT scan to evaluate your bone structure and determine your best treatment options.
Most patients receive their new set of teeth the same day as their implant surgery. Your implants will heal and integrate over the next few months, and once they are fully secure, you’ll receive your long-term final teeth. Because we have an in-house dental lab, the timeline is faster, more precise, and requires fewer visits compared to other offices.
With proper care, the implants themselves can last decades, often for life. We stand behind our work with a 10-year warranty at no extra charge. Routine check-ups, good home care, and following our post-treatment guidelines help ensure the longevity of your implants.
Unlike corporate dental chains, we never use deceptive pricing or add surprise fees. Your implant package includes IV sedation, extractions, bone grafting (if needed), and a 10-year warranty, all at no extra cost. Dr. Alkabbani treated over 29,000 patients, has 850+ hours of specialized training, and performs everything under one roof with advanced 3D technology and an on-site dental lab. This ensures higher quality, faster results, fewer visits, and a more predictable final outcome.
Full mouth dental implants are a treatment that replaces all teeth on the upper jaw, lower jaw, or both, using just a few implants to support an entire bridge of teeth. It’s a fixed, non-removable solution that looks and functions similar to natural teeth letting you eat, chew, speak, and smile confidently.
Full mouth dental implants replace all your missing or failing teeth with a new, fixed set of teeth anchored to dental implants in your jaw. Instead of placing an implant for every tooth, we strategically place a small number of titanium implants (usually 4–6 per arch) and attach a full bridge of custom-made teeth to them.
At Elegant Dentistry, the process starts with a detailed consultation and 3D scan to evaluate your bone, design your new smile, and plan treatment. On the day of surgery, any unsalvageable teeth are gently removed, the implants are placed, and—in most cases—you receive a temporary fixed set of teeth the same day. You don’t leave without teeth.
Over the next 3–6 months, the implants fuse with your jawbone (a process called osseointegration). Once healed, we replace the temporary teeth with your final custom bridge—designed for natural appearance, function, and long-term durability. The implants act like artificial roots, keeping your teeth secure and helping maintain jawbone health.
Most patients need 4–6 implants per arch to support a full bridge of teeth. The exact number depends on jawbone density, anatomy, and your treatment plan. Our doctors use advanced 3D imaging to determine the safest and strongest positions.
Yes, at Elegant Dentistry, most patients receive a temporary fixed set of teeth on the same day as surgery. This means you leave with teeth you can smile with and wear while the implants heal. Once healing is complete, your final custom bridge is attached.
Even if you’ve experienced bone loss or been told you’re not a candidate, modern techniques such as angled implants, grafting, or sinus lift may allow treatment. A 3D scan lets us evaluate your options and determine the best approach.
Unlike dentures, full mouth implants are:
Fixed (not removable)
Secure. No slipping or clicking
Able to support biting and chewing like natural teeth
Designed to preserve bone health and facial structure
More comfortable long-term
Most patients report a dramatic improvement in comfort, confidence, and quality of life.
Full arch bridges are commonly made from zirconia or titanium-reinforced acrylic. These materials are:
Strong and durable
Natural-looking
Biocompatible
Designed to withstand daily chewing forces
We’ll help you choose the best material based on your needs and budget.
Initial healing occurs within a few days, but full osseointegration (bone healing around the implants) typically takes 3–6 months. You will wear temporary teeth during this period and switch to your permanent custom teeth after healing.
Yes. Implants stimulate the jawbone the way natural tooth roots do, helping prevent bone shrinkage and preserving facial structure. This is a major advantage over removable dentures, which accelerate bone loss over time.
Ideal candidates are adults with:
Multiple missing or failing teeth
Dentures that don’t fit or function well
Adequate bone or willingness to explore grafting
Good general health
Realistic expectations
We evaluate all medical factors during your consultation.
Smoking increases the risk of implant complications and implant failure. While smokers can get implants, quitting before and after surgery is strongly recommended. Our doctors will discuss risks and options during consultation.
Care is similar to natural teeth:
Brush twice daily
Use floss or a water flosser
Attend regular cleanings and check-ups
Avoid smoking
We’ll teach you specific cleaning techniques based on your bridge design.
Patients usually follow a soft-food diet for several weeks while the implants heal. Once you receive your final bridge, you can eat most foods normally—steak, apples, and more, just like natural teeth.
Copyrights 2026 | Elegant Dental Implant Center™ | Terms & Conditions
Made By SBM & Web Design